top of page
京都 長岡京
千春会病院
股関節再建
センター長
Senshunkai Hospital
Center for Hip Arthroplasty

良好な長期成績
セメントの初期固定性に水酸化アパタイト顆粒による生体活性を付加することにより、10年以上経っても弛みはほとんどありません。 30年以上耐用する可能性が大いにあります。
10年以上前に手術した連続した370例中、無腐性の弛みは3例(0.8%)のみです。
60年に及ぶ人工股関節の成功と失敗の歴史をよく学び, 20年前に機種を決定した時には,事前に8年をかけて十分な比較研究を行いました。
わが国の患者は骨格が小さく寛骨臼形成不全に続発した二次性の変形性股関節症が大部分を占めます。外国製品を安易に導入するのではなく,わが国の患者に即した術式を選択すべきです。
大腿骨側においては、世界的に成績の良いエクセターステムを正しいセメントテクニックで固定します。
股臼側においては、大西らが35年前に開発した界面生体活性骨セメント手技(IBBC法)を使用しています。
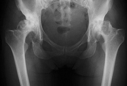
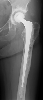
40代女性
両側末期形成不全性股関節症 両股関節をエクセターステム、骨セメントを使用し、再建した。術後14年経過したが、摩耗、弛み、骨粗鬆を認めず元気に働いている。

手術前

手術直後

術後14年
bottom of page











